이영암내과의원
본문 바로가기

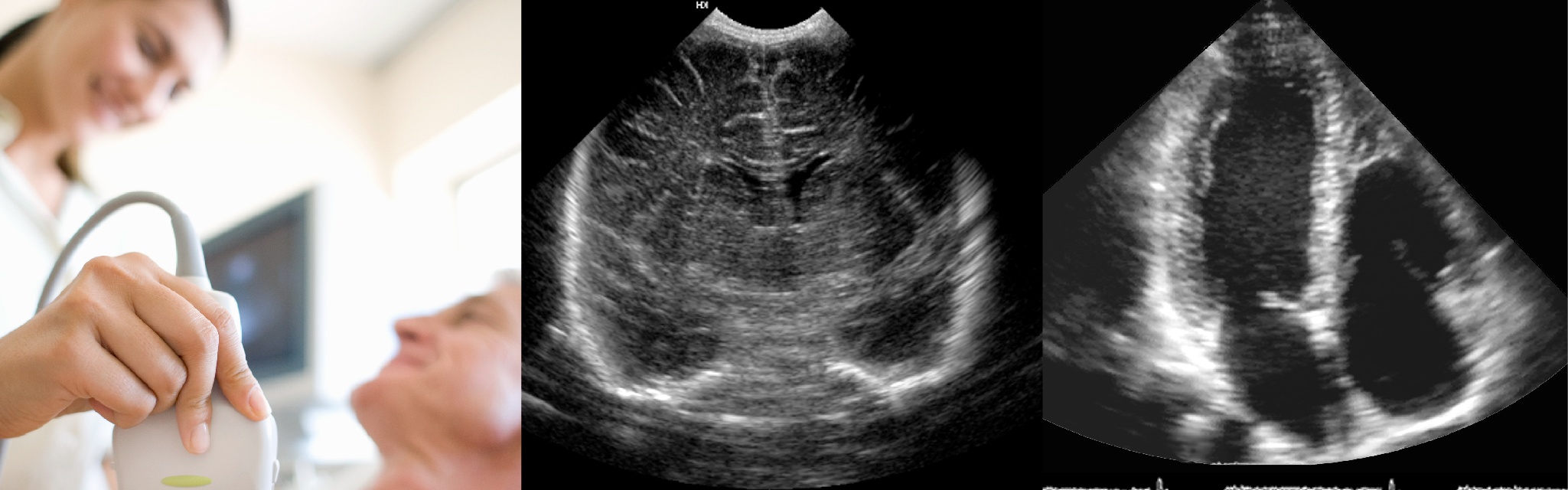
심장 초음파란?

심장초음파는 심장의 움직임과 구조를 평가하는 검사로 심장의 해부학적 구조, 심장

기능, 심장 내 압력 등을 측정할 수 있습니다.

심장 초음파 검사방법

검사는 상의를 벗고 가슴에 심전도 전극을 부착한 후, 탐촉자에 젤을 바르고 시행됩니다. 

보다 선명한 영상을 얻기 위해 숨을 내쉰 후 잠시
멈추는 것이 도움이 될 수 있으며, 어린 소아 환자의 경우 검사 진행이 어려울 수 있어 의료진의 판단하에 진정제 사용이 고려될 수 있습니다.

20~30분 정도 소요되며, 인체에 무리를 주지 않는 비침습적 검사로 별도의 준비 없이 시행됩니다.

언제 검사를 해야 할까요?

가슴 통증이나 불편감,

호흡곤란(누웠을 때 악화)이 있는 경우

몸이 붓거나 쉽게

피로해지는 증상이 있는

경우

심장 질환이 의심되는 경우

건강 검진 목적으로 검사가 시행되는 경우

심장 초음파로 확인 가능한 질환

심장 판막의 역류 및 폐쇄

 허혈성 심질환

(심근경색 등)

심낭(심막)에 생기는 질환

심장 근육질환

내막염

심부전증